トップページ > 診療科 > 肝胆膵内科 > 診療の特徴と実績について > EUSやERCPの内視鏡を使った診断治療 > 超音波内視鏡下穿刺吸引法 (EUS-FNA)
超音波内視鏡下穿刺吸引法 (EUS-FNA)
(1) EUS-FNAについて
超音波内視鏡下穿刺吸引法 (EUS-FNA)とは、超音波内視鏡 (EUS)を用いて腫瘍に対して細い針を刺し、腫瘍細胞を回収する検査です。この回収された検体を用いて組織診を行い腫瘍の診断を行います。この超音波内視鏡下穿刺吸引法 (EUS-FNA)での正確な組織診断は腫瘍の治療方針決定に非常に有用です。この検査では鎮痛剤と鎮静剤の静脈投与を行いますので、苦痛が少なく受けることができます。また検査の翌日より食事も可能です。
(2)EUS-FNAを用いた正確な組織診断
超音波内視鏡 (EUS)による精査で腫瘍が描出できれば、EUS-FNAによる組織診を行うことができます。このEUS-FNAでの正確な組織診断が腫瘍の治療方針決定に非常に有用です。具体的には(1)切除可能(手術できる)病変であれば、手術すべき病変かどうか?(2)切除不能(手術できない)病変であれば、どの治療法が適切か?を判断します。膵病変に対するEUS-FNAの良悪性の正診率(正しく診断できる確率)は熟練した施設では90%以上になると報告されており、開腹せず腫瘍の診断ができる低侵襲な検査です。また偶発症は約2%以下と言われており安全に行える検査です。穿刺対象臓器は膵臓以外にも肝臓、胆嚢、リンパ節など多岐にわたり、超音波内視鏡で描出できる病変はそのほとんどはEUS-FNAが可能です。
症例提示:EUS-FNAで小さな膵癌を診断した症例
膵癌は、症状が出にくく早期発見が難しいがんとして知られており、多くの場合、すでに膵臓の外へ広がる浸潤癌の状態で見つかります。腫瘍が小さい段階で診断することは難しいとされますが、当科では、EUSを用いて膵臓を詳しく観察し、必要に応じてEUS-FNAを行うことで多くの膵癌の診断を行っています。ここでは、EUS-FNAによって診断された7 mmの小膵癌の症例をご紹介します。
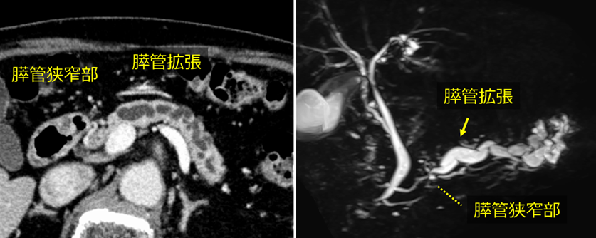
前医で膵管拡張を契機に膵癌が疑われましたが、診断することが困難であったため、当院紹介となりました。
当院の造影CT検査やMRI検査では腫瘍ははっきりとしませんでしたが、たしかに主膵管は拡張していました。
そこで、EUSを行いました。EUSでは、拡張した膵管を途絶するところに、約7mmの小さな低エコー腫瘍(黄色矢頭)を認めました。膵癌の疑いとして、EUS-FNAを行ったころ、腺癌の診断となりました。
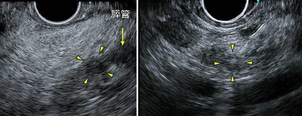
EUS所見
左:膵管と途絶する場所に、7mm大の低エコー腫瘤を認めます。
右:この腫瘤に対して、専用の針を用いて穿刺しました。
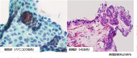
EUS-FNAで採取された検体
細胞診(左)および組織診(右)ともに腺癌の診断でした。
EUS-FNAで採取された組織は、確実な診断のために十分な組織が採取されていました。
以上から、stage Iの膵癌の診断となり、術前化学療法を実施の上で膵頭十二指腸切除を施行し、完全に切除ができました。
外科切除された検体では、大きさ7mmの浸潤性膵管癌でリンパ節転移はなく、stage I (T1bN0M0)でした。
現在、再発なく経過しています。
症例提示:EUS-FNAによって膵上皮内癌を診断した症例
膵癌の中には、がんが膵管の内側にとどまり、まだ周囲の膵組織へ広がっていない「膵上皮内癌(carcinoma in situ)」と呼ばれる段階があります。この段階で発見できれば、より早期の治療につながる可能性がありますが、画像検査では明らかな腫瘍として見えないことが多く、診断は容易ではありません。一般的に行われる内視鏡的逆行性胆管膵管造影(Endoscopic Retrograde Cholangiopancreatography:ERCP)では診断に至らなかったものの、EUS-FNAによって診断された膵上皮内癌の症例をご紹介します。
検診の腹部超音波検査で膵管拡張を指摘され、精査目的に当院を受診されました。 当院で施行した造影CT検査およびMRI検査では明らかな腫瘍は指摘できませんでしたが、主膵管の拡張が認められました。
まず、ERPを施行したところ、主膵管の狭窄を認めたため(左図)、膵管ドレナージチューブ(右図、Endoscopic Nasopancreatic Drainage:ENPD)を留置し、連続膵液細胞診(Serial Pancreatic Juice Aspiration Cytologic Examination:SPACE)を行いました。しかし結果は class 3(良性とも悪性とも断定できない結果) で、明らかな悪性所見は認められませんでした。
ERP所見
左:副膵管から造影すると、膵管の一部が狭窄していました。
右:経鼻膵管ドレナージチューブを留置し、複数回の膵液細胞診を行いました。
診断が得られなかったため、続いてEUSを行いました。主膵管途絶部に淡い低エコー領域を認めたため(左図)、EUS-FNAを行いました(右図)。その結果、腺癌と診断されました。画像所見から膵上皮内癌(carcinoma in situ)の可能性が高いと考えられたため、術前化学療法は行わず、膵頭十二指腸切除術を施行しました。手術後の病理診断では、膵上皮内癌(Stage 0)と診断されました。
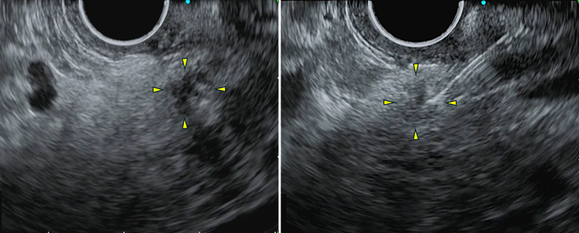
EUS
左:膵管狭窄部の周囲に淡い低エコー領域を認めます。
右:慎重にこの低エコー領域を穿刺しました。
膵癌は早期発見が難しいがんですが、このように膵管拡張などのわずかな異常をきっかけに精密検査を行うことで、非常に早い段階で診断できる場合があります。
症例提示:肝門部領域胆管癌に対してEUS-FNAで診断した症例
胆管癌が疑われる場合、通常はERCPを用いて胆管から組織を採取し、病理診断を行います。しかし、ERCPによる生検だけでは診断が得られないことがあります。このような場合には、EUS-FNAが有用となります。
本症例では、ERCPによる胆管生検では診断が得られませんでしたが、EUS-FNAによって胆管癌の診断に至りました。
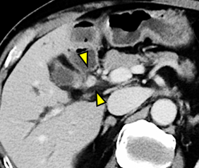
当院で行った造影CT検査では、肝内胆管の拡張の起始部に造影効果を伴う壁肥厚(黄色矢頭)を認めました。
ERCPでは拡張した胆管の根部に狭窄を認めました。狭窄部位から生検鉗子を用いて胆管生検を行いましたが、悪性細胞は検出されませんでした。なお、紹介元の医療機関でも同様にERCPにて診断は得られていませんでした。
そこでEUS-FNAによる精査を行いました。EUSでは胆管内に低エコー腫瘤を認め(左上)、この病変に対して穿刺を行いました。その結果、腺癌と診断されました。
肝門部領域胆管癌の診断がついたため、外科的切除を行いました。
このように、ERCPによる胆管生検で診断が得られない場合でも、EUS-FNAを併用することで確実な診断につながることがあります。当科では複数の内視鏡的手法を組み合わせ、正確な診断と適切な治療につなげることを重視しています。
症例提示:EUS-FNAで胆嚢癌と診断した症例
原発不明癌の精査目的で他院より紹介となりました。
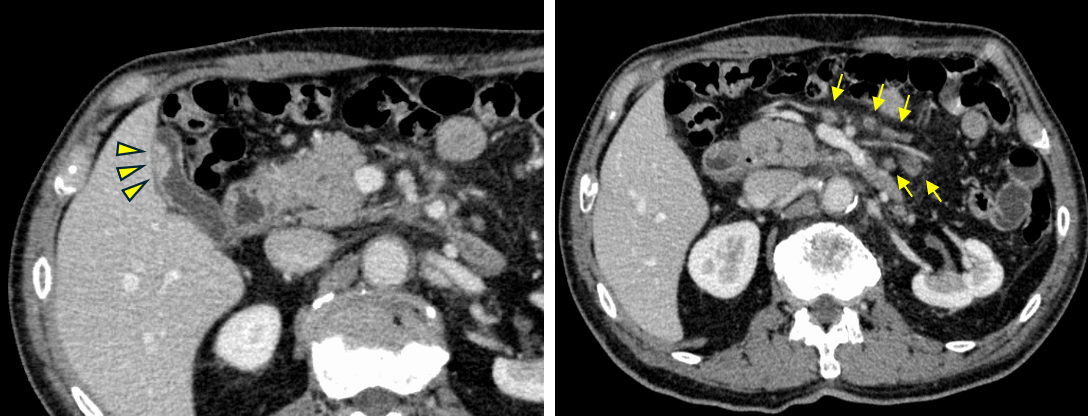
造影CT検査では、胆嚢内に造影効果を伴う隆起性病変を認めました(左図)。また、腹腔内には複数のリンパ節腫大も認められました(右図)。
さらに詳しく調べるため、EUSを行いました。EUSでは胆嚢内の腫瘍性病変と腹腔内リンパ節腫大を確認したため、それぞれに対してEUS-FNAを行い、組織を採取しました。
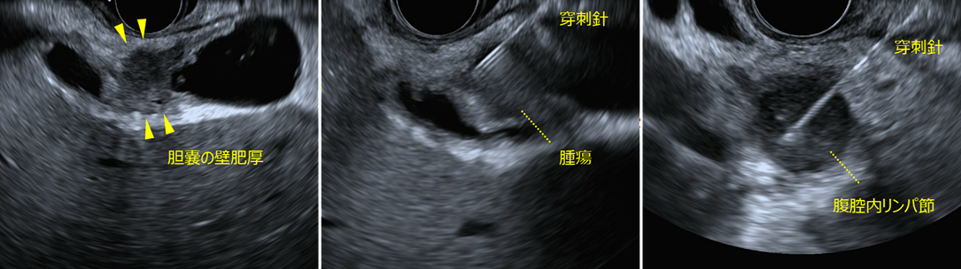
EUS所見
左:胆嚢壁肥厚を認めます。
中:十二指腸から胆嚢壁肥厚部を穿刺しました。
右:腹腔内の腫大したリンパ節を胃内より穿刺しました。
EUS-FNAで採取した組織の検査の結果、胆嚢病変およびリンパ節のいずれからも腺癌が確認されました。これにより、胆嚢癌およびリンパ節転移と診断されました。胆嚢癌と診断後、速やかに化学療法が開始されました。
EUS-FNAで採取された検体(胆嚢病変)
細胞診(左)および組織診(右)ともに腺癌の診断でした。
症例提示: EUS-FNAで診断した小さな膵神経内分泌腫瘍
膵神経内分泌腫瘍(Neuroendocrine Tumor:NET)は、悪性度によってGrade1からGrade3、さらに神経内分泌癌(NEC)まで分類される腫瘍であり、その悪性度によって治療方針が異なります。そのため、EUS-FNAでは、腫瘍の診断だけでなく悪性度(Grade)の評価が治療方針を決定するうえで重要になります。
検診で膵体部に小さな腫瘍が疑われ、精査となりました。造影CTでは、周囲の膵組織よりやや造影効果を示す小さな腫瘍を認めました(左上:黄色矢頭)。EUSでは、境界明瞭な約5 mmの低エコー腫瘍として描出されました(左下)。
超音波内視鏡下穿刺吸引法(Endoscopic Ultrasound-Guided Fine Needle Aspiration:EUS-FNA)を行い組織を採取したところ、Grade1(最も悪性度の低い)の膵神経内分泌腫瘍と診断されました。
EUS-FNAで採取された検体
HE染色では、小型で均一な円形核を有する腫瘍細胞の増殖を認めます。免疫染色では synaptophysin陽性、chromogranin A陽性 を示し、Ki-67 index は1~2%でした。
腫瘍径が小さく悪性度も低いことから、手術は行わず、定期的な画像検査による経過観察の方針となりました。なお、次章で詳しく説明しますが、現在は超音波内視鏡を用いたエタノール注入療法による治療も行っています。
(3)EUSを用いた内視鏡治療
近年、EUSを用いた治療も行われるようになっています。特に、NETに対しては、EUSで腫瘍を確認しながら腫瘍内にエタノールを注入する超音波内視鏡下エタノール注入療法やラジオ波を用いて焼灼する超音波内視鏡下ラジオ波焼灼療法を行うことで、腫瘍に対する治療が可能となっています。これらの治療は外科手術による切除ではなく、内視鏡を用いて行うため、体への負担が比較的少ない治療法です。ただし、これらの治療は2026年4月現在、保険適用外であり、実施する場合は自費診療となります。適応については腫瘍の大きさや位置、患者さんの状態を考慮して患者さんごとに検討します。
症例提示:NETに対する超音波内視鏡下エタノール注入療法
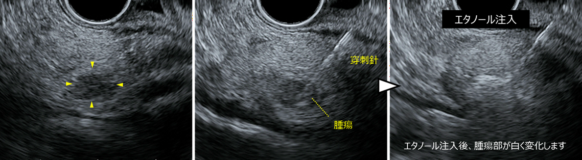
膵頭部に約8 mmの腫瘍を認め、EUS-FNAを施行しました。病理診断の結果、悪性度の低い NET G1 と診断されました。腫瘍径が小さく悪性度も低いことから、超音波内視鏡下エタノール注入療法を行いました。
左:境界明瞭な8mm大の低エコー腫瘤を認めます。
中:FNA針で腫瘍を穿刺します。
右:腫瘍の大きさに合わせてエタノールを注入します。注入後はこのように腫瘍内部が白く変化し、薬剤が腫瘍内に広がったことが確認できます。
超音波内視鏡(Endoscopic Ultrasound:EUS)では、膵頭部に境界明瞭な約8 mmの低エコー腫瘤を認めました。穿刺針で腫瘍を穿刺し、腫瘍内にエタノールを注入しました。エタノール注入後、腫瘍は白く変化し、薬剤が腫瘍内に行き渡ったことが確認されました。
治療前のCT検査では、もともと血流が豊富で造影剤により白く映っていた腫瘍は、治療後のCT検査では失していることが確認されました。治療は合併症なく安全に完遂することができました。
このように、腫瘍の大きさや悪性度に応じて、内視鏡を用いた低侵襲な治療が選択できる場合があります。